Call Us Today!
(419) 628-3380

















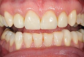
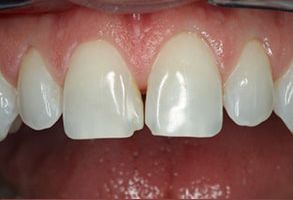
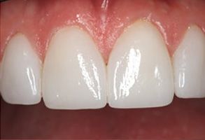
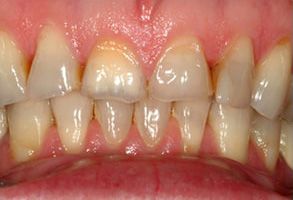
“We’re small-town America here and we love it, we just treat people the way they want to be treated and they keep coming back as satisfied customers - and they bring their friends.”
- Dr. James Overman, Founder